Leberzirrhose
Klassifikation nach ICD-10 | ||
---|---|---|
K74 | Fibrose und Zirrhose der Leber | |
![]() |

Die Leberzirrhose (griechisch κίρρωσις kírrosis "gelb-orange", von René Laënnec geprägter Begriff) ist das Endstadium chronischer Leberkrankheiten. Dieses Stadium gilt als irreversibel, auch wenn einzelne Berichte über Heilungen existieren. Typischerweise entwickelt sich eine Zirrhose über Jahre bis Jahrzehnte, seltener sind schnellere Verläufe von unter einem Jahr. Fast alle chronischen Leberkrankheiten führen im Endstadium zu einer Leberzirrhose. In Europa sind Alkoholmissbrauch und chronische Virushepatitis die häufigsten Ursachen.
Durch den chronischen Ablauf von Untergang und Regeneration des Lebergewebes entsteht eine gestörte Gewebearchitektur mit knotigen Veränderungen. Zusätzlich bildet sich übermäßig Bindegewebe (Fibrosierung). Diese narbigen Areale können mehr als 50 % des gesamten Gewebes einer zirrhotischen Leber einnehmen. Dadurch ist die Durchblutung der Leber gestört, im Bereich der Pfortader staut sich das Blut vor der Leber (Portale Hypertension).
Die Inzidenz, d.h. die Anzahl der Neuerkrankungen, beträgt in den Industrieländern 250 pro 100.000 Einwohner und Jahr, das Verhältnis erkrankter Männer zu Frauen liegt bei 2:1.
Die Leberzirrhose ist nicht zu verwechseln mit der sehr viel häufigeren Fettleber.
Ursachen
Einteilung nach der Ätiologie:
- alkoholische Leberzirrhose (in Industrieländern mit 50 % häufigste Ursache)
- Leberzirrhose bei chronischer Virushepatitis (in Industrieländern mit 20-25 % zweithäufigste Ursache, in Afrika mit 90 % häufigste) - meist Hepatitis C, die in 85 % chronisch bleibt und in 35 % zur Zirrhose führt
- kryptogene Leberzirrhose (ohne nachweisbare Ätiologie)
- Stauungszirrhose (Cirrhose cardiaque), typisch bei Rechtsherzinsuffizienz
- Autoimmunhepatitis
- Fettleber-Hepatitis (ASH, NASH)
- seltene Zirrhoseformen mit definierter Ätiologie
- Hämochromatose
- Morbus Wilson
- Galaktosämie
- Hereditäre Fruktoseintoleranz
- Mukoviszidose
- Glykogenspeicherkrankheit
- cholangiodysplastische Leberzirrhose
- primär sklerosierende Cholangitis
- Budd-Chiari-Syndrom
- Tropenkrankheiten
- Zirrhose bei Alpha-1-Antitrypsinmangel
- primär biliäre Zirrhose
- sekundär biliäre Zirrhose
- Hepatopathie bei Zöliakie (Gluten-sensitiver Enteropathie)
- Leberzirrhose durch lebertoxische Substanzen wie Tetrachlormethan (Metallverarbeitung) und selten auch durch Medikamente wie beispielsweise Methotrexat
Pathogenese
Die Ursache der Zirrhose ist die Nekrose (Absterben) von Leberzellen, verursacht z.B. durch Viren oder Gifte. Die Zellen setzen dabei Zytokine frei, die einerseits Leber-Makrophagen (Kupffer-Stern-Zellen) und Fettspeicherzellen der Leber (Ito-Zellen) und andererseits Monozyten und Granulozyten aus dem Blut aktivieren. Durch diese Zellen wird die Organstruktur mit Parenchym-Nekrosen, Herausbildung von Regeneratknoten (Pseudolobuli) und Bindegewebssepten destruktiv umgebaut. Durch diese Bindegewebsknoten werden die Kanäle der Leber unterbrochen, die Galle über die Gallenkanälchen (Canaliculi und Ductus) zur Gallenblase bringen, Nährstoffe aus dem portalen Blut in den Körper führen, den Hepatozyten Schadstoffe zum Entgiften anschwemmen und die Leber mit sauerstoffreichem Blut versorgen. Gallenkanäle bilden sich zwar neu aus, enden aber blind. Die Folgen sind Blutstau zwischen Leber und Verdauungstrakt (Portale Hypertension), durch welchen sich Aszites bildet und die Milz vergrößert. Im schlimmsten Fall kommt es zu Ösophagusvarizenblutungen. Der Ausfall der Hepatozyten führt zu weiteren Sekundärerkrankungen wie hepatische Enzephalopathie und Leberkoma.
Der Pathologe unterscheidet nach dem äußeren Erscheinungsbild des Organs die mikronoduläre, die makronoduläre und die gemischtknotige Zirrhose. Die Leber schrumpft, ihre Oberfläche wird runzlig und knotig. Mikroskopisch lassen sich aktive oder floride (d. h. voranschreitende) und inaktive Zirrhosen unterscheiden. Die Vorstufe der Leberzirrhose ist die Fettleber.
Symptome
Eine Leberzirrhose beeinträchtigt das subjektive Empfinden des betroffenen Patienten häufig erst in einem recht späten Stadium. Die Leberfunktion kann hinsichtlich der Synthesefunktion (Gerinnungsfaktoren, Albumin) und der Entgiftungsfunktion (Leberkoma) sehr unterschiedlich beeinträchtigt sein. Zusätzlich spielen die Sekundärerkrankungen wie Umgehungskreisläufe, Portale Hypertension (daraus folgende Ösophagusvarizen = Krampfadern in der Speiseröhre), Aszites oder Milzvergrößerung (Mangel an Thrombozyten) und hepatische Enzephalopathie oft eine große Rolle. Andere typische Symptome sind Rötungen der Handinnenflächen (Palmarerythem), Caput medusae, Spider-Naevi (Naevus araneus), Rhagaden, Lackzunge und Ödeme. In der sogenannten Child-Pugh-Score-Klassifikation werden mehrere dieser Faktoren einbezogen (Bilirubin, Quick-Wert, Albumin, Enzephalopathie und Aszites) und daraus ein Score errechnet; die daraus resultierende Einteilung in die Stadien A bis C erlaubt eine Aussage über die Prognose der Erkrankung, Patienten im Stadium C nach Child-Pugh haben eine sehr schlechte Prognose hinsichtlich der Überlebenszeit. Die Enzephalopathie und der Aszites werden nur in drei Schweregrade eingeschätzt, was zu mehr oder weniger subjektiven, ungenauen Werten führt. Darum nutzt man seit 2002 auch den MELD-Score, der nach einer bestimmten Formel aus Laborparametern (Kreatinin, Bilirubin und International Normalized Ratio (INR)) berechnet wird.
Leberzirrhosen gelten als fakultative Präkanzerose, d.h., dass sich auf dem Boden einer Leberzirrhose ein bösartiger Tumor entwickeln kann, das Hepatozelluläre Karzinom (HCC).
Als zentrale Symptome der auch als Schrumpfleber bezeichneten Leberzirrhose gelten Leistungsminderung, Konzentrationsschwäche und Müdigkeit. Hinzu treten die so genannten Leberhautzeichen, welche sich unter anderem durch rot gefärbte Kleinfingerballen, durch eine gelbliche Haut (Ikterus) sowie Naevus araneus bemerkbar machen.
Diagnose


Bei der Untersuchung fallen oft ein Ikterus, ein gesteigerter Bauchumfang (Aszites-bedingt), Ödeme, eine Gynäkomastie, Hautblutungen sowie bei einer hepatischen Enzephalopathie ein flapping tremor und Bewusstseinsstörungen auf.
Typisch, allerdings erst spät auftretend, sind die sogenannten Leberhautzeichen: Spider Naevi (Gefäßspinne), "Milchglasnägel" (Opake Weißverfärbung der Fingernägel mit distaler longitudinaler rot-braun Färbung, ( auch "Terry-Nägel" genannt), Prurigo (Juckflechte), Lackzunge, Hautatrophie ("Geldscheinhaut") sowie Palmar- bzw. Plantarerytheme (Rötung der Handflächen bzw. der Fußsohle). Gelegentlich sind jedoch frühe Fingernägelveränderungen wie die 1954 das erste Mal vom britischen Arzt Dr. Richard Terry erwähnten Terrys Fingernägel ein wichtiger Indikator einer zugrunde liegenden systemischen Erkrankung, bspw. einer Leberzirrhose. Diese Zeichen sind allerdings nicht nur für die Leberzirrhose spezifisch, sondern können auch in diskreter Form bei anderen Leberstörungen, wie z.B. der Fettleber auftreten. Dies kann z.B. auch temporär während einer Schwangerschaft der Fall sein. Weitere Leberzeichen sind Caput medusae, Dupuytren-Kontrakturen, sowie eine fehlende Bauchbehaarung beim Mann (Abdominalglatze, "Bauchglatze").
Im Labor fallen durch die verminderte Syntheseleistung der Leber verminderte Werte für die Cholinesterase, Albumin und einige Gerinnungsfaktoren (erniedrigter Quick-Wert) auf. Die Leberenzyme GOT (AST), GPT (ALT) sowie γ-GT(GGT), Bilirubin und Ammoniak können erhöht sein.
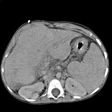
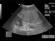
Im Ultraschall stellt sich die Leber inhomogen dar. Der Leberrand ist wellig, die Binnengefäße sind rarefiziert. Der Lobus caudatus kann vergrößert sein. Sehr gut können mit dem Ultraschall ein Aszites und eine Milzvergrößerung (Splenomegalie) erkannt werden. Eine verbesserte Form der Sonographie stellt der sogenannte Fibroscan, auch bekannt als transiente Elastografie, dar. Hiermit kann die Fibrosierung, also der Bindegewebsumbau, der Leber ermittelt werden, was ein sehr zuverlässiges Ergebnis zur Diagnosestellung liefert und zukünftig die Leberbiopsie (s.u.) ersetzen könnte. Mit der Farbduplexsonographie lässt sich in den Lebervenen eine verminderte Elastizität der Leber, in der Pfortader ein verminderter Fluss sowie in der Leberarterie ein erhöhter peripherer Widerstand messen.
Die definitive Diagnose wird durch eine Leberbiopsie gestellt.
Aus verschiedenen Untersuchungsbefunden wird der Child-Pugh Score erstellt, der sowohl zur Stadieneinteilung (Child A-C) als auch zur Prognoseabschätzung dient.
Therapie
Die Basis der Therapie bilden Allgemeinmaßnahmen wie das Weglassen aller potenziell lebertoxischen Substanzen (Alkohol, Medikamente), Ausgleich eines Vitaminmangels (z.B. Vitamin B1 bei Alkoholismus) und eine ausreichende Energiezufuhr, bei hepatischer Enzephalopathie Beschränkung der Protein aufnahme.
Die Grunderkrankung muss behandelt werden, bei Alkoholismus wird eine Entzugsbehandlung versucht, Patienten mit Autoimmunhepatitis werden mittels Immunsuppression behandelt, bei einer chronischen Hepatitis kann eine Viruselimination mit Interferonen versucht werden.
Auf Komplikationen wird mit spezifischen Maßnahmen reagiert: Blutstillung bei Ösophagusvarizenblutung, Shunt-OP bei hepatischer Enzephalopathie, Punktion bei hartnäckigem Aszites.
Wichtig sind regelmäßige Untersuchungen zur Früherkennung eines Leberkarzinoms. Eine Ultima ratio ist in vielen Fällen die Lebertransplantation.
Wahrscheinlich schützt Koffein die Leber vor der Bildung einer Zirrhose oder verzögert deren Entwicklung.
In einer nach ethischen Grundsätzen bewilligten klinischen Studie im Zentrum für Bauchchirurgie in Zürich wird seit einigen Jahren erfolgreich von Hans Ulrich Baer eine neue Behandlungsform bei schwerer chronischer Leberzirrhose untersucht, bei der körpereigene Leberzellen zur Verbesserung der Leberfunktion verwendet werden. In einer minimalen Leberoperation werden Gewebestücke der erkrankten Leber und der Bauchspeicheldrüse, die hier als Stimulationszellen fungieren, entnommen und in einem speziellen Labor verarbeitet. Diese werden gemischt und auf eine Trägersubstanz aufgebracht. Zwei Tage später werden diese Zellgemische wieder in den Körper des Patienten in die Aufhängebänder des Dünndarms eingebracht. Diese Zellgemische übernehmen nach etwa zwei Wochen wichtige Funktionen der erkrankten Leber und normalisieren teilweise oder ganz die Leberfunktion. Die verwendeten Zellen sind keine Stammzellen, so dass viele ethische Bedenken aus der Stammzellforschung für dieses Verfahren nicht bestehen.
Prognose
Die Prognose ist abhängig von der Ursache, der erfolgreichen ursächlichen Behandlung, den Komplikationen und dem Stadium. So sind die Ein-Jahres-Überlebensraten für Patienten im Stadium Child A fast 100 %, bei Child B etwa 85 % und bei Child C 35 %. Mit dem MELD-Score lassen sich Aussagen für das Überleben in den nächsten drei Monaten treffen. So hat ein Patient im Krankenhaus mit einem Score von 20-30 ein Risiko von 25 %, in den nächsten drei Monaten zu sterben. Ein Zirrhotiker mit einem MELD von über 40 ist in drei Monaten sicher verstorben.
Geschichte
Die erste makroskopische Beschreibung einer Leberzirrhose in der Medizingeschichte findet sich in den Anmerkungen zur Zeichnung del vecchio von Leonardo da Vinci (1452-1519). Die Zeichnungen zur Gefäßanatomie der Leber basieren auf einer Autopsie, die Leonardo da Vinci 1508 in Florenz an einem über 100-Jährigen vornahm.


© biancahoegel.de
Datum der letzten Änderung: Jena, den: 16.08. 2025