Giemsa-Färbung
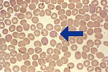
Die Giemsa-Färbung ist eine modifizierte Romanowsky-Färbung für methanolfixierte Knochenmark- und Blutausstriche und zytologisches Material (beispielsweise Urinsediment, Sputum), die dazu dient, verschiedene Zelltypen voneinander zu unterscheiden. Sie wurde von dem Hamburger Chemiker Gustav Giemsa 1904 eingeführt und nach ihm benannt.[1]
Die Giemsa-Lösung besteht aus einer Mischung der Farbstoffe Azur A-Eosinat, Azur B-Eosinat, Methylenblau-Eosinat und Methylenblauchlorid in Methanol mit Glycerin als Stabilisator. Sie wird deshalb auch als Azur-Eosin-Methylenblaulösung bezeichnet.
Die Stärke der Färbung hängt von der genauen Zusammensetzung der Giemsa-Lösung ab. Zellkerne erscheinen in gefärbten Ausstrichen durch eine Komplexbildung der Farbstoffe mit der DNA purpurrot. Das Cytoplasma wird meistens bläulich dargestellt. Parasiten- bzw. Protozoen-Kerne erscheinen ebenfalls leuchtend rot. Das Färberesultat kann jedoch deutliche Unterschiede aufweisen. Es wird unter anderem durch den pH-Wert der Lösung und der Pufferlösung, die Puffersubstanzen, die Färbezeit und die Art der Fixierung beeinflusst.
Chromosomen
Chromosomen werden durch eine Giemsa-Lösung einheitlich gefärbt. Erfolgt eine vorhergehende Behandlung der Chromosomen mit Trypsin, so zeigen sich an den Chromosomen unterschiedlich stark gefärbte Bereiche (Chromosomenbanden).
Bandenmuster
Die Chromosomenbereiche zeigen unterschiedliche Färbeverhalten, da bestimmte Bereiche den Farbstoff nicht bzw. weniger gut annehmen, wenn sie zuvor mit Trypsin behandelt worden sind.
- G-Banden: gefärbt
- R-Banden: nicht gefärbt, Unterform → T-Banden: liegen an Telomeren
- C-Banden: Centromerregion
Einzelnachweise
- ↑ Gustav Giemsa: Eine Vereinfachung und Vervollkommnung meiner Methylenblau-Eosin-Färbemethode zur Erzielung der Romanowsky-Nocht’schen Chromatinfärbung. In: Centralblatt für Bakteriologie I Abteilung 32 (1904), S. 307–313.


© biancahoegel.de
Datum der letzten Änderung: Jena, den: 20.03. 2026